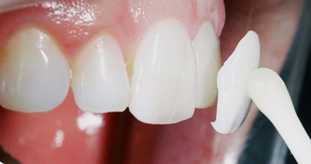
Nameščanje zobne luske
Zobna protetika pomeni uporabo biokompatibilnih materialov za estetsko in funkcionalno nadomestitev okvarjenih, poškodovanih ali izgubljenih zob. Sodelujemo s strokovnjaki in uporabljamo vrhunske biokeramične materiale, ki so popolnoma združljivi z ustnim okoljem, zagotavljajo naraven videz in funkcionalnost.
Poskrbimo za lepši videz zob in nasmeha s postopki, ki ohranjajo zdravje, vitalnost in funkcionalnost zob. Estetsko zobozdravstvo vključuje različne postopke, ki izboljšujejo skladnost in privlačnost obraza, hkrati pa ohranjajo funkcijo zob, čeljustnic in ustnic.
Inlay, onlay in zobne prevleke (krone), desno mostiček
Delne in popolne (totalne) proteze
S protetičnim zdravljenjem nadomeščamo manjkajoče zobe ali preoblikujemo
izgled zob. Imamo močno podporo v implantologiji, kar omogoča širok nabor
primernih protetičnih rešitev za vsakega posameznika. Pri zahtevnejših primerih
se poslužujemo multidisciplinarnega pristopa in sodelujemo z ostalimi
specialisti v zobozdravstvu.
Po natančnem načrtovanju izberemo rešitev, ki je za vas estetsko in funkcionalno
najbolj primerna.
created with
WordPress Website Builder .